No cambiar los filtros incrementa el consumo de combustible

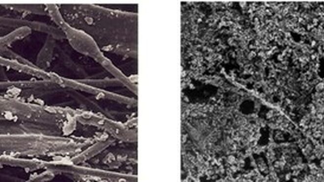
Mann explica que circular con los filtros colmatados implica que el motor realice un esfuerzo extra para mover los fluidos a través de esta concentración de suciedad, lo que va a repercutir en un aumento del consumo. Con el tiempo, el volumen de fibras disponible en el medio filtrante para el almacenamiento de las partículas separadas se va reduciendo, de modo que la ‘pérdida de carga’ aumenta.
Ante el contexto de incremento del precio de los combustibles, son muchos los consejos que se están dando a los conductores para ahorrar en el consumo de carburante. Consejos comúnmente conocidos, como en lo relativo al uso del aire acondicionado; y otros, seguramente, no tan conocidos, como el hecho de que "saltarse el periodo de mantenimiento de los filtros del motor, aumenta también, en cierta medida, el consumo de combustible”, advierten desde el fabricante de sistemas de filtración Mann-Filter.
"También aumentan, en consecuencia, las emisiones contaminantes, así como el riesgo de avería del motor". La importancia de respetar los periodos de mantenimiento de los filtros de motor respecto al consumo se explica porque los medios filtrantes empleados en la automoción realizan su tarea de filtración según el ‘efecto en profundidad’, "es decir, la separación de partículas se produce en el interior del entramado de fibras que constituye dicho medio filtrante”, explican desde la compañía".
"Al inicio del proceso de filtración se depositan primero algunas partículas en la superficie de las fibras, y al ir transcurriendo el tiempo, va aumentando la densidad de ocupación y pueden configurarse formaciones dendríticas -densas y con ramificaciones- que, además, van a contribuir a mejorar el rendimiento de filtrado",
ha explicado Antonio Martínez, responsable técnico de Mann-Filter en España y Portugal.
No obstante, con el tiempo, el volumen de fibras disponible en el medio para el almacenamiento de las partículas que se separan se irá reduciendo, de modo que la pérdida de carga aumenta. "El esfuerzo que tiene que realizar el motor para hacer pasar los distintos fluidos a través de los filtros, aumenta", lo que se traduce en un mayor consumo de combustible. Tras un periodo de servicio, "que viene especificado en los manuales de mantenimiento del vehículo", el filtro queda colmatado, alcanzando el punto máximo de pérdida de carga, momento en que debe ser sustituido.
Fuente: Infotaller

Alfa e-Parts, la marca de componentes eléctricos y electrónicos de Terrepower, continúa reforzando su posición en el mercado posventa con la incorporación de 38 nuevas referencias que ya están disponibles en TecDoc desde el 11 de noviembre. La compañía sigue un patrón claro en sus últimos lanzamientos: ampliar familias críticas para la reparación, especialmente en el ámbito de la gestión térmica y la electrónica de motor. El grueso de las novedades vuelve a concentrarse en los termostatos, con 14 nuevas referencias que elevan de manera significativa el alcance de la gama. Terrepower insiste en este punto desde hace meses: la regulación térmica se ha convertido en uno de los talones de Aquiles del mantenimiento en vehículos con más de diez años, y contar con alternativas fiables en posventa es clave para talleres y distribuidores. A esta familia se suman cinco nuevas bridas de refrigerante, otro componente cuya renovación se está disparando por fatiga de materiales. También crece la oferta de válvulas de mando de ralentí -cuatro nuevas referencias que permiten a la marca alcanzar ya una docena en catálogo-, en línea con la estrategia de Alfa e-Parts de ocupar espacio en las reparaciones relacionadas con el control de aire y la gestión de mezcla. El lanzamiento incorpora además interruptores de encendido, sensores de luces de xenón, módulos de colector de admisión, sensores MAF y otras referencias que completan la cobertura de sistemas donde la electrónica manda sobre la mecánica. La compañía sostiene que todo el nuevo material ha sido diseñado, fabricado y validado siguiendo los protocolos habituales de Terrepower. El objetivo, explican, es seguir ganando terreno en un mercado donde el distribuidor ya no pide solo amplitud, sino garantías y estabilidad en un contexto de creciente rotación tecnológica. Fuente: El Mercado de la Posventa Somos distribuidores en León, consulta con nuestros expertos.

🛠️ Sistema de Suspensión Delantera: ¿Para qué sirve y qué partes lo componen? La suspensión delantera es clave para la estabilidad, comodidad y seguridad del vehículo. Su función principal es absorber las irregularidades del camino y mantener las llantas en contacto con el suelo en todo momento. Aquí te explico sus componentes 👇 🔩 Amortiguador Reduce los golpes y mantiene el vehículo estable en baches y curvas. 🦾 Brazo de control superior e inferior Sujetan la rueda y permiten que se mueva de forma controlada. ⚙️ Mangueta de dirección Conecta el sistema de dirección con la rueda para permitir girar el vehículo. 🔗 Bieleta de dirección Transmite el movimiento del volante hacia las ruedas. 🛞 Cubo de rueda Base donde se instala la rueda y permite que gire suavemente. 🛑 Disco y pinza de freno Responsables de la frenada mediante fricción controlada. 🚘 Neumático El único punto de contacto con el suelo; fundamental para agarre y seguridad. ⸻ 💡 Síntomas: Ruidos, vibraciones o desgaste irregular en la llanta pueden indicar fallas en la suspensión. ¡No lo ignores! 👀🔧

🚗 SISTEMA DE ESCAPE – ¿Qué hace y por qué es importante? El sistema de escape se encarga de conducir los gases producidos por la combustión hacia el exterior del vehículo, reduciendo ruido y contaminación. Está formado por varios componentes clave: 🔧 Colector de escape Recoge los gases que salen del motor y los envía hacia el sistema de escape. ♻️ Catalizador Convierte los gases nocivos en compuestos menos dañinos antes de liberarlos al ambiente. 🔇 Silenciador Reduce el ruido del motor y ayuda a controlar las emisiones. 👉 Un sistema de escape en mal estado genera ruidos fuertes, pérdida de potencia y más contaminación. ¡Revísalo periódicamente para evitar problemas! Consulta con nuestros expertos cualquier duda, somos distribuidores de todo el sistema de escape.

🔧 ¿Cómo funciona un motor de combustión interna? 🔥🚗 Un motor transforma explosiones controladas en movimiento, y estos son sus componentes clave: 🧱 Pistón Se mueve hacia arriba y abajo dentro del cilindro para generar la fuerza de empuje. ⚙️ Biela Une el pistón con el cigüeñal y transmite el movimiento. 🔄 Cigüeñal Convierte el movimiento lineal del pistón en rotación para mover las ruedas. 🛠️ Válvulas Controlan la entrada de aire/combustible y la salida de gases de escape. 💡 Este proceso ocurre cientos de veces por minuto para impulsar tu vehículo. 🚀 Somos distribuidores de recambios originales de estos componentes del motor. Consulta con nuestros expertos: 987347859

🔧 ¿Cómo la transmisión convierte la potencia del motor en movimiento? 🚗💨 La transmisión es uno de los sistemas más importantes del vehículo, ya que transfiere la potencia del motor hacia las ruedas, permitiendo que el automóvil avance con fuerza y suavidad. Aquí te explico cada parte del proceso👇👇 🔩 1. Caja de cambios La caja de cambios ajusta la velocidad y el torque (fuerza) del motor mediante diferentes engranajes. ➡️ Selecciona la marcha adecuada según la velocidad y la necesidad de potencia. ➡️ Permite acelerar sin forzar el motor. ⚙️ 2. Embrague El embrague es el encargado de conectar y desconectar el motor de la transmisión. ✔️ Facilita hacer cambios de marcha sin dañar los engranajes. ✔️ Permite detener el vehículo sin apagar el motor. 🛠 3. Ejes Los ejes transmiten el movimiento final desde la transmisión hacia las ruedas. ➡️ Son los responsables de que la potencia llegue al pavimento. 🚘 En resumen… La transmisión: 🔄 Ajusta la velocidad del vehículo 💥 Multiplica o regula la fuerza del motor 🔗 Conecta el motor con las ruedas 🛣 Te permite arrancar, detenerte y acelerar suavemente

El color del humo que sale del escape puede revelar problemas internos del motor o del sistema de combustión. Identificarlo a tiempo ayuda a evitar daños mayores y diagnósticos erróneos. --- ⚪ Humo Blanco 👉 Causa: Fuga de refrigerante hacia la cámara de combustión. 🔧 Síntomas: Huele a dulce (anticongelante quemado). Puede indicar junta de culata dañada, culata agrietada o bloque deformado. 🧠 Consejo: No sigas circulando; podrías dañar el motor por sobrecalentamiento. --- 🔵 Humo Azul 👉 Causa: Aceite del motor entra en la cámara de combustión. 🔧 Síntomas: Consumo excesivo de aceite. Bujías con residuos aceitosos. Fugas por sellos de válvulas o anillos de pistón desgastados. 🧠 Consejo: Revisa la compresión y evita conducir hasta corregir la causa. --- ⚫ Humo Negro 👉 Causa: Combustión incompleta del combustible. 🔧 Síntomas: Mezcla rica (exceso de combustible). Inyectores sucios o filtro de aire obstruido. Sensor MAF o MAP defectuoso. 🧠 Consejo: Limpia o reemplaza los inyectores y revisa sensores del sistema de admisión. --- ⚙️ Humo Gris 👉 Causa: Exceso de aire o mal ajuste del sistema de admisión. 🔧 Síntomas: Inestabilidad al ralentí. Fallos en el turbocompresor (si aplica). Problemas con la válvula PCV o sensor de mezcla. 🧠 Consejo: Diagnostica fugas de vacío y revisa la válvula de control de gases del cárter. --- 💡 Recuerda: Cada color de humo cuenta una historia del motor. Ignorarlo puede convertirse en una reparación costosa.

La batería es esencial para el arranque y el suministro eléctrico del vehículo. Conocer sus partes ayuda a identificar fallos y mantenerla en buen estado. --- 🔹 1. Polo positivo (+) Es el terminal por donde sale la corriente eléctrica hacia el sistema del vehículo. 👉 Siempre está marcado en color rojo y debe conectarse primero al instalar la batería. --- 🔹 2. Polo negativo (–) Permite el retorno de la corriente al circuito eléctrico del auto. 👉 Normalmente está identificado con el color negro o azul. --- 🔹 3. Electrolito Es una mezcla de agua destilada y ácido sulfúrico que provoca la reacción química necesaria para generar energía eléctrica. --- 🔹 4. Carcasa Contenedor fabricado con material resistente al calor y a los ácidos, protege todos los componentes internos de la batería. --- 🔹 5. Separadores (entre placas) Evitan el contacto directo entre las placas positiva y negativa, permitiendo el flujo controlado de corriente. --- 📍 Consejo: Mantén los bornes limpios, revisa el nivel del electrolito (si tu batería no es sellada) y asegúrate de que los terminales estén bien ajustados. Esto prolonga la vida útil y mejora el arranque del motor. Somos distribuidores, para cualquier aclaración, consulta con nuestros expertos.

Una revisión sencilla que puede salvar tu motor 🔧 El aceite es esencial para lubricar, enfriar y proteger las partes internas del motor. Revisar su nivel con frecuencia garantiza un funcionamiento correcto y evita reparaciones costosas. --- 🟥 Excesivo Descripción: El nivel de aceite sobrepasa la marca máxima. Consecuencia: Puede generar espuma o presión excesiva, dañando sellos y el motor. Solución: Drena el exceso de aceite hasta alcanzar el nivel adecuado. --- 🟩 Seguro Descripción: Nivel dentro del rango óptimo de la varilla. Consecuencia: Lubricación perfecta y temperatura estable. Consejo: Mantén este nivel, revisando cada 1 000 km o antes de viajes largos. --- 🟨 Bajo Descripción: El nivel se encuentra por debajo del mínimo recomendado. Consecuencia: Menor lubricación y riesgo de sobrecalentamiento. Solución: Agrega aceite del tipo y grado indicado por el fabricante. --- 🟥 Peligro Descripción: La varilla muestra poco o ningún aceite. Consecuencia: Posible daño grave al motor si se sigue conduciendo. Solución: Apaga el vehículo y rellena inmediatamente. --- 📏 Consejo técnico: Revisa el nivel con el motor frío y el vehículo en terreno plano. Limpia la varilla antes de medir para obtener una lectura precisa.

Polea de Cigüeñal Desalineada: Vibración y Ruido Metálico ⚙️ Introducción ¿Tu motor vibra al ralentí o escuchas un chirrido metálico constante? 😖 Podrías estar frente a una polea de cigüeñal desalineada, un problema que comienza con ruidos leves… pero que puede terminar en una ruptura total de la correa y daños graves al motor. --- 🔩 Función de la Polea del Cigüeñal La polea del cigüeñal transmite el giro del motor hacia los accesorios: alternador, bomba de dirección, compresor de A/C y tensor. Su correcta alineación es esencial para mantener la tensión uniforme de la correa y evitar vibraciones. --- 🚨 Síntomas Comunes 🔸 Vibraciones en ralentí o sacudidas leves del motor. 🔸 Ruido metálico o “chirrido seco” al acelerar. 🔸 Correa que se sale, se desgasta rápido o se deshilacha en los bordes. Estas señales indican que la polea o su dámper (amortiguador de vibración) podrían estar deformados o fuera de eje. --- 🧰 Diagnóstico 1️⃣ Encender el motor y observar el giro de la correa y poleas. Si la polea “baila” o se mueve lateralmente, hay desalineación. 2️⃣ Usa una regla o láser de alineación sobre las poleas para detectar desviaciones. 3️⃣ Revisa el eje del cigüeñal y el soporte del dámper: pueden estar doblados o con el buje gastado. --- ⚠️ Consejo Técnico 🚫 No ignores el ruido. Una polea desalineada puede causar la ruptura de la correa de accesorios, y si se enreda con la de distribución, el daño puede ser catastrófico. 🧠 Siempre reemplazar la polea con calidad y verifica el apriete del perno del cigüeñal con el torque especificado.

11 años cuidando de tu coche y de ti: la historia de Aljocar Hace 11 años, Alberto y José Luis comenzaron un sueño: crear un lugar donde cada vehículo recibiera el cuidado que merece y cada cliente se sintiera respaldado y acompañado. Así nació Aljocar, una tienda especializada en recambios del automóvil, con la misión de ofrecer productos de calidad y un servicio cercano y confiable. Durante más de una década, hemos tenido el privilegio de acompañar a miles de conductores y familias en su día a día, proporcionando todo lo necesario para el mantenimiento seguro y eficiente de sus vehículos. Desde baterías, aceites y filtros de aire y aceite, frenos y correas, hasta 100.000 referencias, en Aljocar nos aseguramos de que cada recambio cumpla con los más altos estándares de calidad. Porque sabemos que detrás de cada coche hay historias, trayectos y momentos importantes. Pero nuestro compromiso va más allá de ofrecer productos : asesoramos, guiamos y recomendamos lo que tu coche realmente necesita. Por ejemplo: Baterías: revisa su estado antes de los cambios de tiempo para evitar sorpresas. Aceite y filtros: un cambio a tiempo prolonga la vida del motor y mejora el rendimiento. Frenos: pastillas y discos en buen estado son fundamentales para tu seguridad. Cada recomendación refleja nuestro compromiso de que tu coche funcione correctamente y tú conduzcas con total tranquilidad. A lo largo de estos 11 años hemos aprendido que la confianza de nuestros clientes es nuestro mayor logro. Gracias a vosotros hemos crecido, mejorado y podido ofrecer un servicio cada vez más completo, con recambios fiables que garantizan la seguridad y el rendimiento de tu vehículo. En Aljocar creemos firmemente que cuidar tu coche merece la pena . Por eso, cada batería que vendemos, cada aceite que recomendamos, cada filtro o pastilla de freno, lo hacemos con el mismo compromiso del primer día: “Cuidamos de tu vehículo, cuidamos de ti.” Hoy, 11 años después, seguimos con la misma pasión y la misma promesa: estar aquí para ti y para tu coche, ofreciendo productos de calidad, consejos útiles y un servicio cercano. 💡 Si quieres estar al día de todo lo que te interesa del mundo del automóvil y conocer las últimas novedades en recambios y mantenimiento, no olvides visitar nuestro blog . Encontrarás consejos prácticos, recomendaciones y toda la información que necesitas para que tu coche siempre esté en las mejores condiciones. Gracias por ser parte de nuestra historia y por permitirnos seguir acompañándote en cada kilómetro de tu camino. 💙


